Self Study CE
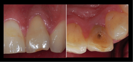
Endodontic Management of an Infected Immature Tooth with Spontaneous Root Closure and Type II Dens Invaginatus
Price range: $10.00 through $30.00
Become a member and save !
Join Today
IDA members: $10
Non-members: $30
IDA members: Please log in prior to purchase in order to receive your discount pricing.
CE credit: .5 credits
Description
Clinicians frequently encounter the sequlae of trauma, but are rarely present when the trauma actually occurs. It is important to be aware of possible healing responses after dental trauma has occurred.
CE credit: .5 credits
Related products
Indiana Ethics and Jurisprudence 2025
Price range: $40.00 through $200.00
Opioid Abuse and Prevention 2023
Price range: $30.00 through $200.00
A Dental Home By Age One: How and Why
Price range: $0.00 through $10.00
Opioid Abuse and Prevention Journal 2019
Price range: $25.00 through $110.00
Stay Current, Stay Certified
Indiana dentists must complete 20 hours of continuing education each licensure period. The Indiana Dental Association offers up to 100 hours annually through various courses, live and online classes, and local events. Keep learning and stay ahead in your profession.
View All CE OpportunitiesClassified Ads
View allOwner Occupied Commercial Real Estate (100% Financing)
Kokomo FFS General Practice for Sale
Kokomo, IN
Join our team as a Full-Time Dental Hygienist
Whiteland, Indiana
Associate Dentist: Brazil Indiana
Openings in Fort Wayne at Dr. Scheele’s Practice
Dental Careers Instructor
Greenfield
Associate Dentist – Up to $20K Sign On Bonus!
Elkhart, IN
Associate Dentist Opportunity – Crown Point, Indiana
Let us help you get the word out
Advertise with the IDA



